Какво представлява хипофизната аденома?


Прегледано и одобрено от лекар Diego Pereira
Хипофизната аденома е бавно растящ доброкачествен тумор. Възниква в клетките, които съставят хипофизната жлеза. Това е жлеза, която регулира функциите на другите жлези в тялото, което я прави важна. Обаче, хипофизната аденома е сравнително често срещана и се появява при приблизително 1 на всеки 1,000 възрастни. Няма разлика по отношение на пола, тъй като те засягат еднакво мъжете и жените. Има по-голямо разпространение между 30 и 40 години, по отношение на възрастта.
Като цяло, това е доброкачествен и бавно растящ тумор. Освен това, хиповизните карциноми или злокачествени тумори са много необичайни. Все още не знаем конкретните причини за хипофизната аденома. Обаче, в някои случаи, са свързани с генетично заболяване, наречено Синдроми на множествената ендокринна неоплазия.
Симптоми на хипофизната аденома

Основният симптом, възникващ от тези видове тумори, е промяната при секрецията на хормони. В зависимост от разпространението на тумори в хипофизната жлеза, те може да произвеждат един или повече хормони. Поради промяна в ендокринната система, симптомите могат да бъдат:
- Хипертиреодизъм: Щитовидната жлеза произвежда големи количества хормони. (Този симптом е доста необичаен при хората, страдащи от хипофизна аденома.)
- Синдромът на кушинг: Тук нивото на кортозол, хормон, е по-високо от обикновено.
- Акромегалия: Децата с високо ниво на хормона на растежа може да страдат от гигантизъм. Ако това се случва при възрастен, може да има акромегалия.
- Отделяне и производство на мляко при мъже и жени.
- Нередовен менструален цикъл при жените поради промяна в половите хормони.
От друга страна, някои конкретни симптоми се появяват когато има свиване на мозъчните структури поради голям тумор на хипофизата. Те може да са:
- Зрителни проблеми като двойно зрение, загуба на зрително поле, увиснали клепачи или промени в цветното виждане.
- Главоболие.
- Умора и отпадналост.
- Изтичане на чиста течност от носа.
- Гадене и повръщане.
- Проблеми с чувството за обоняние.
Тези симптоми могат да са притеснителни, ако се появят внезапно и едновременно. Също така, те биха могли да доведат до разкъсване на хипофизата. Ако забележите някои от тези симптоми, свържете се с вашия лекар.
Вижте също: 7 предупредителни признаци за проблеми с щитовидната жлеза, които често пренебрегваме
Хипофизната аденома: видове аденоми
Можем да класифицираме аденомите на хипофизата според размера им по следния начин:
- Микроаденоми: Те са по-малки от 3/8 инча.
- Макроаденоми: Те са по-големи от 3/8 инча. Този вид аденома често води до голяма липса на един или повече хормони на хипофизата.
Също така, могат да бъдат класифицирани според това дали отделят хормони или не. Според тези критерии, те могат да бъдат функционални ако отделят хормони сами. От друга страна, те са нефункционални, ако не отделят хормони.
Хипофизната аденома: диагностика

Относно диагнозата, лекарят трябва да извърши физически преглед за да прецени дали има проблеми с двойното зрение и зрително поле. Също така, лаборантите проучват загубата на латералното или периферно зрение и способността да се гледа в определено области. Също така, те правят анализ на ендокринната функция за да видят признаци на излишък на хормони или други проблеми. Освен това, те могат да измерват параметри като повишени нива на кортозол, синдромът на Кушинг или твърде много от хормона на растежа.
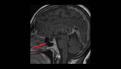
Най-подходящите изследвания, които помагат за потвърждаване на диагнозата, са визуалното поле и компютърна томография и магнитен резонанс на мозъка.
Вижте също: 6 признака на високото ниво на кортизола
Лечение на аденомата на хипофизата
Като цяло, настоящите начини за лечение са:
- Фармакологично лечение и заместване на хормоните: Лекарствата, които блокират отделянето на хормони, могат да контролират симптомите и дори да намалят размера на тумора.
- Техники за радиационна терапия: Те често се използват за да намалят размера на тумора.
- Операция на хипофизната аденома: Тези тумори често се премахват чрез носната кухина. Обаче, в други случаи, лекарите трябва да направят краниотомия или отваряне на черепа.
- Ендоскопичната носна хирургия се състои от въвеждането на ендоскоп чрез ноздрите и неговото плъзгане между средния турбинат и носната преграда докато не достигне сфеноидната дупка. Тази дупка се уголемява за да се постигне значително отваряне на сфеноидния синуд и да може да се визуализира нивото на клетъчния тумор за да се премахне тумора.
Слепотата е най-сериозното усложнение, ако има сериозно увреждане в зрителния нерв. Също така, туморът или неговото отрязване може да причини хормонален дисбаланс за цял живот и да доведе до диабет инсипидус. Характерните симптоми за този вид диабет са редовно уриниране и силна жажда.
За всеки случай, е важно да се потърси лечение колкото се може по-бързо, ако забележите някои от горепосочените симптоми.
Всички цитирани източници бяха добре прегледани от нашия екип, за да се гарантира тяхната качествена, надеждна, актуална и валидна информация. Библиографията на тази статия бе считана за надеждна и отговаряща на академичните или научни изисквания.
-
Jaime, M. de, López, F., & Cabrera, G. (2003). Patología de los adenomas hipofisarios. Patología.
-
Betanzos, R. R., Gerardo, E., Pérez, D., Apolonia, S., Montaño, A., Sánchez, V., … Mendoza, C. (2009). Artículo de revisión Acromegalia. Mcm.
-
CARNEIRO, C. C., MENDES, B. B., & BASTOS, L. G. (2015). ADENOMA HIPOFISÁRIO: CORRELAÇÃO CLÍNICA, LABORATORIAL E RADIOLÓGICA. REVISTA DA UNIVERSIDADE VALE DO RIO VERDE. https://doi.org/10.5892/ruvrd.v13i1.1979
Този текст се предоставя само с информационна цел и не замества консултация с професионалист. При съмнения, консултирайте се със своя специалист.







