Белодробен възел: Какво точно представлява?

Ракът може би е първото нещо, което ви идва на ум, когато чуете, че някой има белодробен възел. Обаче, това е доброкачествено състояние през повечето време, въпреки че може да има връзка между двете заболявания.
Белодробният възел е образувание, което излиза между пет и тридесет милиметра. Това е изключително често срещано заболяване и настоящите изчисления показват, че засяга около 0.2% от населението. Добрите новини са това, че почти 60% от тези възли са доброкачествени.
Причините за това заболяване варират от инфекция до тумор. Голяма част от последното се намира случайно при извършването на CT сканиране (компютърна томография) или рентгенови лъчи.
Важно е да се диагностицира тази ситуация на време за да избегнете усложнения и да изключите нещо по-сериозно. Следователно, в днешната статия, ще обясним всичко, което трябва да знаете за белодробния възел и какви са неговите симптоми.
Причини за белодробен възел
Както споменахме отгоре, белодробният възел е образувание в белия дроб и неговите причини са различни. Голяма част от тях са поради инфекция- или бактериална, гъбична или паразитна.
Относно своите инфекциозни причини, имайте предвид, че белодробните възли са често срещани при хора, заразени с туберкулоза. Да, все още се случва дори когато нейното разпространение е ниско.
Вижте също: Натурални средства за детоксикация на белите дробове
Неопластична болест
В момента, първото нещо, което лекарят ще направи, е да прецени дали белодробният възел е канцерогенен. Това е така защото ракът на белия дроб е един от най-често срещаните видове рак.
В такива случаи, възлите ще имат необичаен външен вид със слабо формирани ръбове; това се вижда при рентгеновото изследване. Също така, те обикновено са по-малки от доброкачествените. Освен това, те са част от определени рискови фактори като:
- Пушене
- Над 35-годишна възраст
- Предишна история на заболяване от рак
- Бърз растеж на белодробния възел през последните месеци
Обаче, е важно да се знае, че не всички неопластични белодробни възли са злокачествени. Има и някои доброкачествени, въпреки че те са по-малко срещани от последните.

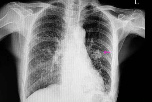
Рентгеновото изследване може да засече белодробен възел.
Други причини за белодробен възел
Има много други заболявания, които могат да възникнат от това белодробно заболяване. Например, определени автоимунни процеси като грануломатозата на Вегенер или ревтамоиден възел. И двете обаче са много рядко срещани.
По подобен начин, белодробните възли могат да възникнат поради наранвявания при някои хора. Това вероятно е поради метаболитно заболяване наречено амилоидоза или след появата на бронхиална киста.
Как лекарите диагностицират белодробен възел?
Първо, е важно да притежавате пълна медицинска история на човека за да можете да диагностицирате белодробен възел и да определите причината за него. Пациентът трябва да знае дали е страдал преди от туберкулоза или е бил подложен на определени инфекции или заразени хора.
Също е важно да знаете дали той е пушач или не. Много проучвания разкриват, че голяма част от белодробните възли са канцерогенни и свързани с пушенето.
Щом това е направено, лекарят трябва да извърши определени образни изследвания за да се засече възела. Освен това, изображенията ще му позволят да прегледа определени характеристики като форма и размер. Това е така защото те са важни за различаване на доброкачествен възел от злокачествен.
Най-често срещаните начини за тяхното диагностициране са чрез рентген на гръдния кош и компютърна томография. За да разберете точната причина за белодробен възел, лекарите правят биопсии понякога, тъй като те им позволяват да анализират тъканите.

Медицинският преглед се допълва с образни изследвания и ако е необходимо, биопсия.
Вижте също: Наномедицината: напредък и приложение
Кое е най-доброто лечение?
Последвалото лечение ще зависи от причината за белодробния възел. По подобен начин, може да изисква или не антибиотици когато е поради инфекциозен процес.
Когато причината е неясна, лечението ще се фокусира върху риска от рак за пациента. Например, младите непушачи, чийто възел не изглежда да е злокачествен, могат да ходят само на периодични прегледи. Предимно за да проверят дали възелът се променя или расте.
По подобен начин, ако има опасност от рак, тогава е важно лекарят да направи биопсия. След това, ако е бил наистина канцерогнен, той ще трябва да направи операция за да го премахне. Когато операцията не е възможна, той може да предложи химиотерапия или рентгенова терапия.
Накрая, трябва да подчертаем отрицателното влияние на тютюна върху белите дробове. Трябва да сте наясно за риска и да ходите на редовни медицински прегледи за да диагностицирате този вид заболяване колкото се може по-бързо.
Всички цитирани източници бяха добре прегледани от нашия екип, за да се гарантира тяхната качествена, надеждна, актуална и валидна информация. Библиографията на тази статия бе считана за надеждна и отговаряща на академичните или научни изисквания.
- Un nódulo pulmonar solitario | Medicina Integral. (n.d.). Retrieved December 24, 2019, from https://www.elsevier.es/es-revista-medicina-integral-63-articulo-un-nodulo-pulmonar-solitario-13046283
- Nódulos pulmonares: ¿Pueden ser cancerosos? Mayo Clinic. https://www.mayoclinic.org/es-es/diseases-conditions/lung-cancer/expert-answers/lung-nodules/faq-20058445#:~:text=Los%20n%C3%B3dulos%20pulmonares%20no%20cancerosos%20generalmente%20no%20requieren%20tratamiento.,o%20cambia%20con%20el%20tiempo.
- Prevención del cáncer de pulmón (PDQ®)–Versión para profesionales de salud. Instituto Nacional del Cáncer. https://www.cancer.gov/espanol/tipos/pulmon/pro/prevencion-pulmon-pdq
Този текст се предоставя само с информационна цел и не замества консултация с професионалист. При съмнения, консултирайте се със своя специалист.







