Защо зъбният камък почернява? Лечение и превенция


Написано и проверено от зъболекар Vanesa Evangelina Buffa
Много бактерии и остатъци могат да се натрупат върху зъбите, ако не поддържаме подходяща устна хигиена. В тази статия ще ви разкажем за зъбния камък и защо понякога зъбният камък изглежда черен.
Наличието на този тъмен камък върху зъбите и венците не само се отразява на външния вид на усмивката. Също така може да доведе до заболявания на устната кухина като гингивит и пародонтоза.
Ето защо, когато се появи черен зъбен камък, е необходимо отстраняването му. Премахването на тези отлагания запазва здравето и подобрява естетиката. Ще е необходима обаче намесата на зъболекар.
Какво представлява зъбният камък?
Когато бактериите, остатъците от храна и замърсяванията в устата не се отстраняват правилно чрез дентална хигиена, те се натрупват върху повърхностите в устата. Това води до лепкав филм, известен като плака.
Ако плаката не се отстрани чрез миене с четка и конец, тя продължава да се натрупва и отлага върху зъбите и венците. И с течение на времето минералите, присъстващи в устата, калцират и втвърдяват този филм. Ето как се появява това, което познаваме като зъбен камък.
Скоростта, с която бактериалната плака може да се втвърди, варира от човек до човек и дори може да се промени при един и същ индивид през различни етапи от живота. Въпреки че като цяло, средното време за калциране е 10 до 12 дни.
Фактори като вида на зъба, рН на слюнката и количеството калций, фосфор и други вещества, присъстващи в слюнката, оказват влияние върху процеса на образуване на зъбен камък. Устната хигиена, достъпът до стоматологична помощ, времето от последното почистване на зъбите, системните заболявания, употребата на определени лекарства, диетата и възрастта на пациента също играят роля.
Зъбният камък се образува от минерализацията на бактериалната плака. Въпреки това, той има различна текстура и консистенция и не е толкова лесно да се премахне. Миенето на зъбите и почистването с конец не са достатъчни, за да го премахнете.
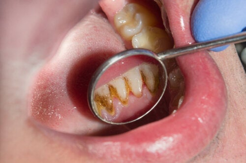
Цветът на зъбния камък
Цветът на зъбния камък зависи до голяма степен от това колко е стар и къде се намира. Най-честите области, където бактериалната плака започва да се втвърдява, са тези в близост до каналите, през които слюнката излиза от устата. Това е от вътрешната страна на долните резци и от външната повърхност на моларите.
Когато е едва оформен и е над линията на венците, зъбният камък е по-светъл. В тези случаи се нарича супрагингивален зъбен камък и има жълт или светлокафяв цвят.
Когато зъбният камък е по-стар и се е натрупал, обичайно е той да започне да се отлага под венеца. Това е известно като субгингивален зъбен камък.
Субгингивалният зъбен камък и отлаганията, които са били дълго време в устата, потъмняват. По този начин те могат да изглеждат кафяви, черни или зелени на цвят.
Защо зъбният камък става черен?
Съставът на почернелия зъбен камък е същият като този на по-светлите му варианти. Той обаче включва и други компоненти от редица течности.
Така че, в допълнение към мъртвите бактерии и минерализираните протеини на слюнката, зъбният камък е изложен на следното:
- Кръв и хематични странични продукти: Възпалените венци, които кървят, предразполагат зъбния камък към контакт с хематични вещества, които са склонни да му придават тъмен цвят. Когато зъбният камък е под линията на венците, тъмната пигментация с кръв е по-забележима.
- Гингивална цепникуларна течност: Това е течност, екскретирана от съединителната тъкан, която се увеличава при наличието на бактериална плака и възпаление на венците.
- Външни вещества: Контактът с външни вещества, които влизат в устата, може да благоприятства оцветяването и пигментацията на зъбния камък. Потъмняването му може да се дължи на честата консумация на тъмни напитки, като кафе или червено вино, и употребата на тютюн.
Въпреки това, освен тези фактори, трябва да знаете, че всички форми на зъбен камък потъмняват и се увеличават с течение на времето.

Усложнения на почернелия зъбен камък
Наличието на черен зъбен камък и плака в устата има негативни последици за оралното здраве. И двете действат като дразнители на венците, благоприятствайки тяхното възпаление и появата на гингивит. Тогава гингивалната тъкан става подута, болезнена, зачервена и кърви лесно.
Ако гингивитът не се лекува навреме, той може да прерасне в пародонтит. Това състояние е по-сериозно. Възпалението и инфекцията дълбоко компрометират тъканите, които поддържат зъбите. По този начин може да доведе до движение на зъбите и дори до загубата им.
Когато почернелият зъбен камък се натрупа под венеца, между тъканта на венците и зъба, това благоприятства наличието и натрупването на вредни бактерии. Това предразполага към развитие на инфекции и гной в пародонталните джобове.
Пародонтитът също е рисков фактор за общото здраве. Всъщност това състояние на устата е свързано с усложнения на диабет, сърдечни заболявания и респираторни заболявания.
Следователно, наличието на черен зъбен камък засяга не само устната кухина, но има последствия за цялото тяло. Освен това трябва да се лекува своевременно, за да не продължава да причинява щети.
Лечение на почернелия зъбен камък
Вече споменахме, че единственият начин да премахнете черния зъбен камък е чрез намесата на зъболекар. Миенето на зъбите и почистването с конец не са достатъчни за отстраняване на тези твърди отлагания от повърхностите в устата.
Специалистът ще оцени ситуацията, ще определи местоположението на зъбния камък и ще диагностицира свързаните заболявания. От това ще бъде избран най-подходящият подход.
За да премахнат черния зъбен камък, зъболекарите обикновено прибягват до това, което е известно като лющене и рендосване на корена. Това е процедура, която се стреми да премахне бактериалната плака, зъбния камък и пигментациите, отложени върху зъбните повърхности и пародонталните джобове.
Тази интервенция съчетава използването на ръчни инструменти, наречени кюрети, с ултразвукови инструменти. Последният генерира микровибрации, които разбиват кристалите на минерализираната плака.
При натрупване на черен зъбен камък в пародонталните джобове, в контакт с венците и зъбните корени, е необходимо да се използва анестезия, за да се избегне болка по време на лечението. След това зъболекарят извършва дентален кюртаж.
Тази процедура включва лющене, полиране и изглаждане на корените на зъбите. Зъбният камък и субгингивалната бактериална плака се отстраняват и възпалителната тъкан във венците се изхвърля.
Накрая външната част на зъбите се почиства с ротационни инструменти за отстраняване на замърсявания, пигменти и неравности. Това оставя гладка повърхност, която предотвратява задържането на бактериална плака и повторната поява на проблема.
В зависимост от количеството натрупан черен зъбен камък и състоянието на пародонталните тъкани може да са необходими една или повече сесии за лющене и рендосване на корена. В по-тежки случаи може да е подходяща комбинацията с пародонтални операции.
Резултатите
Чрез тези процедури, които премахват черен зъбен камък, усмивката на човек отново може да изглежда красива и приятна. Освен това венците и пародонталната тъкан могат да се възстановят.
След като целият черен зъбен камък бъде отстранен от устата, зъболекарят ще посочи на пациента някои хигиенни мерки, които трябва да се извършват у дома. Освен това, ако случаят го налага, зъболекарят ще предпише антибиотици, антисептици и противовъзпалителни средства, за да подобри развитието на процеса.
От време на време ще е необходимо да се преоценява състоянието на устата и да се извършват поддържащи процедури. Някои хора имат по-голяма склонност към образуване на зъбен камък.
Прочетете и: Черни петна по венците: причини и лечение
Предотвратяване на почернелия зъбен камък
Както се казва, “превенцията е по-полезна от лечението”. Въпреки че черният камък може да бъде премахнат и лекуван с просто лечение, като лющене и рендосване на корена, идеално е да се избегне необходимостта от това лечение като начало.
Целта е да се намали трайността на бактериалната плака върху повърхностите в устата. По този начин, без плака, която може да калцифицира, няма да има зъбен камък.
Защо почернява зъбният камък – поддържайте правилна устна хигиена
Правилната устна хигиена е от съществено значение за предотвратяване образуването на черен зъбен камък. За това правилното и често миене на зъбите и венците е от ключово значение. Това позволява премахването на бактериалната плака, която се образува.
Необходимо е да се почистят всички страни на всички елементи, присъстващи в устата и зоната, където зъбите се срещат с венците. Освен това в края на почистването не забравяйте да включите и езика.
Това трябва да се направи с мека четка и паста за зъби с флуорид. Има и някои алтернативни видове пасти за зъби, специално разработени за контрол на зъбния камък. Зъболекарят може да препоръча тези продукти на пациенти, които произвеждат голямо количество зъбен камък.
Почистването трябва да продължи най-малко две минути. Трябва да се прави 2 или 3 пъти всеки ден или след всяко хранене.
Освен това е необходимо да използвате конец веднъж на ден. Този елемент се използва за почистване на местата между зъбите, където четката за зъби не може да достигне. Иригаторите за зъби и междузъбните четки могат да бъдат от голяма помощ.
Зъболекарят може да предложи използването на вода за уста. Тези специални течности с антисептици или флуорид помагат за контролиране на образуването на плака, предотвратяват зъбния камък и завършват почистването на устата.
Обърнете внимание на вашата диета
Бактериите, които образуват плака, се възползват от захарите и въглехидратите в нашата диета, за да се развиват и да се размножават. Обръщането на внимание на вида храна, която ядем, помага да държим вредните бактерии под контрол.
Поради това се препоръчва да избягвате или поне да намалите консумацията на всякакви храни, които благоприятстват бактериалната пролиферация. Закуски, сладкиши, бонбони, сладки, безалкохолни напитки и свръхпреработени храни са някои примери.

Защо почернява зъбният камък – избягвайте пушенето
Пушенето увеличава шансовете за поява на черен зъбен камък в устата, наред с много други вредни ефекти.
Сухота в устата и повишена бактериална плака са чести проблеми при пушачите. При това образуването и натрупването на черен зъбен камък е често срещано последствие. Пигментите от химикалите, съдържащи се в цигарите, водят до по-бързото потъмняване на зъбния камък.
Контролирайте сухотата в устата
Слюнката е много важна течност за поддържане на оралното здраве. Помага за почистването на зъбните повърхности, ограничава растежа на бактериите и неутрализира киселините, които произвеждат.
Въпреки това, стареенето, употребата на някои лекарства като успокоителни, антидепресанти, антихипертензивни и онкологични терапии могат да причинят сухота в устата. Ксеростомията може да бъде причинена и от честа консумация на алкохолни напитки или тютюнопушене.
Пиенето на много вода, поддържането на хидратацията и дъвченето на дъвки са алтернативи, които помагат за противодействие на ефектите от този проблем. Ако е възможно, смяната на лекарства, които причиняват сухота в устата, също е добра стратегия.
Не пропускайте и: Какво е орална фиброма и как влияе на оралното здраве?
Посещавайте редовно зъболекаря
Редовните посещения при зъболекар на всеки шест месеца помагат да се открият и лекуват навреме всички проблеми в устата. След това, ако се появи зъбен камък, той може да бъде отстранен незабавно, преди да продължи да се натрупва и да причини нежелани последствия.
Съветите относно техниките на миене на зъбите и препоръките относно използването на определени продукти за зъбна хигиена са често срещани в стоматологичния кабинет. Зъболекарят също така показва на пациента как да се грижи за устата си и да я поддържа здрава.
Професионалното почистване също играе много важна роля в контролирането на бактериалната плака. Позволяват ранното отстраняване на отлагания на плака, зъбен камък и пигменти, които се образуват и които четката за зъби не може да достигне.
Без черен зъбен камък
Усмивката, покрита с тъмни налепи, не е най-доброто първо впечатление. Въпреки това, както ви казахме, черният зъбен камък не засяга само естетиката и външния вид на устата. Предразполага човек и към други заболявания.
При поява на черен зъбен камък е необходимо зъбно лечение. И дори да е проста процедура, винаги е за предпочитане да я избягвате. Полагането на добра грижа за устата ще предотврати появата на неприятен зъбен камък и ще подобри външния вид и здравето на вашата усмивка.
Всички цитирани източници бяха добре прегледани от нашия екип, за да се гарантира тяхната качествена, надеждна, актуална и валидна информация. Библиографията на тази статия бе считана за надеждна и отговаряща на академичните или научни изисквания.
- Baux Jiménez, G. (2008). Incidencia del cálculo dental en piezas del maxilar superior (Doctoral dissertation, Universidad de Guayaquil. Facultad Piloto de Odontología. Escuela de Postgrado” Dr. José Apolo Pineda”).
- Rivas Almonte, U. O. (2004). Dosaje de calcio y fósforo en saliva estimulada en relación al cálculo supragingival, en personas sanas.
- Caballero, A., Ricaurte, M., & Conrado, C. (2011). Cálculo dental: una revisión de literatura y presentación de una condición inusual. Acta odontológica venezolana, 49(3).
- Chaguay Alvarado, J. S. (2021). El tabaquismo y sus consecuencias en la cavidad bucal (Bachelor’s thesis, Universidad de Guayaquil. Facultad Piloto de Odontología).
- ANATOMOFISIOMICROBIOLÓGICOS, A. C. Y. (2006). El surco gingival Aspectos clínicos y anatomofisiomicrobiológicos. Odous Científica, 7(2).
- Pérez, A. J. S. (2008). Gingivectomia y curetaje gingival. Labor dental clínica: Avances clínicos en odontoestomatología, 9(1), 24-28.
- Mosquera Tacuri, M. J. (2019). Tratamiento de bolsas periodontales con raspado y alisado radicular campo abierto (Bachelor’s thesis, Universidad de Guayaquil. Facultad Piloto de Odontología).
- Rodríguez, J. A. L., Casana, S. T. V., & Alejandro, M. G. P. (2020). Efectividad de la clorhexidina y aceites esenciales asociados al raspado y alisado radicular en el tratamiento de periodontitis crónica. Ciencias de la salud, 18(3), 3.
- Bernardo Ricardo, P. B., Clara, O. M., & Walkyria del Carmen, G. R. (2021, March). Efectividad de antimicrobianos como coadyuvantes del raspado y alisado radicular en la periodontitis del adulto. In EMPREFARMA PINAR 2021.
- Badal, C. F. (2014). Evaluación de la capacidad de un nuevo colutorio de inhibir la formación del cálculo dental supragingival (Doctoral dissertation, Universitat de València).
- Llena, C., Forner, L., & Vento, C. (2009). Anticalculus efficacy of a new dentifrice. Quintessence International, 40(6).
Този текст се предоставя само с информационна цел и не замества консултация с професионалист. При съмнения, консултирайте се със своя специалист.







