Кистозното акне е най-агресивният вариант на акне

Кистозното акне е най-агресивната форма на акне. Някои хора страдат от по-лоши симптоми от други с това конкретно заболяване. Самото акне обаче е доста често срещано явление. Всъщност се смята, че приблизително 80 процента от хората на възраст между 11 и 30 години се сблъскват с него.
Обикновено по-младото население страда от акне. Всъщност, въпреки че има голямо разпространение сред хората под 30-те години, по-голямата част от случаите се срещат при хора под 20 години. Има редица различни варианти на акне и кистозното акне е един от тях.
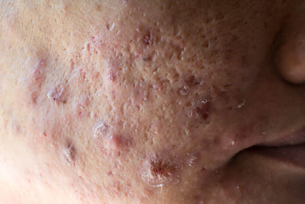
Кистозното акне е агресивен вариант с по-забележими лезии от обикновеното акне. Всъщност, ако имате възпалени пъпки по кожата, а не черни точки, може да имате кистозно акне. Освен това, пъпките са болезнени и възпалението ги кара да изглеждат червени на цвят.
Кистозното акне обикновено се появява на лицето ви. Всъщност то прави тена ви наистина грозен и може да ви повлияе психологически. Този тип акне може дори да причини белези, за разлика от обикновеното акне. Всъщност следите често остават по кожата дълго след като възпалителните лезии са се изчистили.
Докато кистозното акне обикновено се появява на лицето ви, то може да се появи и по тялото ви. По-рядко може да се появи по тялото ви. Въпреки това, по-рядко се среща по горните крайници.
Причини за кистозното акне, най-агресивният вариант на акне

Кистозното акне възниква поради същия механизъм като обикновеното акне. С други думи , мастните ви жлези се блокират и не могат да изхвърлят съдържанието си. Функцията на мастните жлези е да смазват кожата ви, като произвеждат мазно вещество, наречено себум. То поддържа кожата ви овлажнена.
Въпреки това, ако каналите ви, които изхвърлят себума, се запушат, бактериите се натрупват вътре в жлезата. Видът на бактериите, които се загнездят в порите, определя колко агресивно ще бъде кистозното акне. Тогава микроорганизмите са отговорни за генерирането на възпаление.
Кистозното акне е свързано и с хормоните. Всъщност тестостеронът играе важна роля. Ето защо засяга повече мъжете, отколкото жените.
При жените, техните менструални цикли променят еволюцията на кистозното акне. Поради тази причина жените със синдром на поликистозните яйчници са по-податливи на кистозно акне.
Жените със синдром на поликистозните яйчници са склонни към затлъстяване. При затлъстяването има повече мастна тъкан, която да преобразува женските хормони в тестостерон. Следователно повишаването на тестостерона при тези жени би обяснило защо те са склонни да страдат от кистозно акне по-често.
Прочетете и: Синдромът на поликистозните яйчници и неговото лечение
Степени и форми

Кистозното акне не винаги се проявява по един и същи начин. Всъщност страдащите могат да изпитат три различни степени от него:
- Лека: пациентът има до пет възпалителни възли по кожата. Те могат също да имат до пет кисти. Това все още е агресивна форма на акне. Въпреки това можше напълно да се контролира от лекар. Всъщност лекарят обикновено просто ще предпише крем и ще даде съвети относно общата грижа за кожата.
- Умерена: Пациентът има повече от десет пълни с гной лезии, но по-малко от 20. Този тип изисква употребата на перорално лекарство. Съществува и висок риск от бъдещи белези.
- Тежка: Това е най-агресивната форма. Пациентът има повече от двадесет лезии по тялото си. Тези възли обикновено са възпалени и отделят гной. Те също са болезнени, особено когато се прилага натиск. Този щам реагира слабо на лечението и може да изисква инжекции на противовъзпалителни лекарства. Освен това, ако гнойта е прекомерна, може да се наложи да се дренира с хирургична процедура.
Продължете да четете: 6 начина за вътрешно лечение на акне
Лечение на кистозното акне, най-агресивният вариант на акне

Освен леката форма на акне, която може да се лекува с кремове, останалите изискват перорални или инжекционни лекарства. Здравният специалист ще реши във всеки отделен случай какво лечение е необходимо.
Първият етап на лечение е антибиотици. Те действат чрез унищожаване на бактериите в мастните жлези. Тези лечения могат да продължат месеци или дори до една година.
Вторият етап на лечение е със спиронолактон. Това лекарство се предписва на жени с кистозно акне, особено тези със синдром на поликистозните яйчници. Спиронолактонът действа като намалява производството на тестостерон от мастните клетки.
И накрая, най-ефективното лекарство, но използвано само в определени случаи, е изотретиноинът. Това лекарство се приема през устата. Когато действа, го прави чрез намаляване на възпалението и отпушване на запушените канали на мастните жлези.
Въпреки това, проблемът с изотретиноина са неговите тежки странични ефекти. Може да бъде предписан само от дерматолог и пациентът трябва да се подлага на редовни прегледи по време на лечението. Ако жените го приемат, те не трябва да забременяват по време на лечението. Това е така, защото лекарството може да причини сериозни аномалии на плода.
Вече знаете, ако имате кистозно акне, трябва да отидете на лекар или дерматолог. Те ще диагностицират колко силно сте засегнати и ще ви предложат съответното лечение. Изключително важно е да не се лекувате автоматично, защото това може само да влоши нещата.
Всички цитирани източници бяха добре прегледани от нашия екип, за да се гарантира тяхната качествена, надеждна, актуална и валидна информация. Библиографията на тази статия бе считана за надеждна и отговаряща на академичните или научни изисквания.
- Norris-Squirrell, Frances, and Marina Pereira. “Acne conglobata therapeutic approach.” Dermatología Revista Mexicana 61.4 (2017): 308-311.
- López-Estebaranz, J. L., P. Herranz-Pinto, and B. Dréno. “Consenso español para establecer una clasificación y un algoritmo de tratamiento del acné.” Actas Dermo-Sifiliográficas 108.2 (2017): 120-131.
- PEÑALOZA MARTÍNEZ, JOSÉ ÁLVARO. “El acné.” Revista de la Facultad de Medicina 46.004 (2003).
Този текст се предоставя само с информационна цел и не замества консултация с професионалист. При съмнения, консултирайте се със своя специалист.







