Белите петна по зъбите: защо се появяват?

Белите петна по зъбите могат да се появят по различни причини и могат да бъдат свързани с различни фактори. За тези, които ги имат, те представляват естетически проблем. В допълнение, могат да са признак на скрито заболяване
Всъщност в някои случаи те са знак, който показва, че грижата за зъбите не е достатъчна, че бактериалната плака се натрупва и зъбите губят минералите си. А в други случаи могат да бъдат генерирани от различни ситуации. В тази статия ще разгледаме всички тях.
Познаването на произхода на белите петна по зъбите ни позволява да определим лечението, което трябва да се проведе. В повечето случаи те имат доста лесно решение и човек отново може да има красива усмивка. Прочетете, за да научите повече за белите петна по зъбите.
Какво представляват белите петна по зъбите?
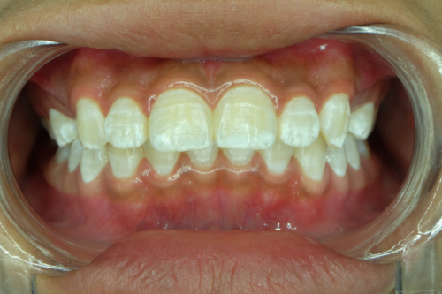
Белите петна по зъбите представляват промяна в цвета на повърхността на зъбния емайл. Те се виждат като зони със сух матово бял вид, който контрастира с нормалния жълтеникав или сиво-бял цвят на зъба.
Белите петна по зъбите са доста често срещани, а появата им е свързана с редица фактори. Липсата на зъбна хигиена е най-честата причина. Прекомерната консумация на сладки храни, появата на кариеси, хипоплазията и флуорозата могат да бъдат други причини за появата им.
Тези петна могат да се появят както при деца, така и при възрастни, както при временни, така и при постоянни зъби. Появата им е не само здравословен, но и естетически проблем. Понякога причиняват несигурност и ниско самочувствие у човека, който ги има, и той може да се опита да скрие усмивката си поради начина, по който изглеждат зъбите му.
Възможността за изясняване на причината за белите петна по зъбите дава възможност да се планира подходящо лечение и да се вземат необходимите мерки за избягване на появата на нови лезии. Най-добре е да посетите зъболека, когато забележите промяна в цвета на зъбите си.
Белите петна по зъбите и връзката им със заболявания на устната кухина
Както вече споменахме, има различни причини, които водят до появата на бели петна по зъбите. Някои са свързани с момента на формиране на зъбите, а други – с външни ситуации, които предизвикват заболявания на устната кухина, които се проявяват с тези лезии.

1. Зъбни хипоплазии
Това състояние се поражда от недостатъчна минерализация в процеса на формиране на твърдите тъкани на зъба. Това е промяна, която настъпва по време на развитието на зъбите – т.е. в утробата на майката или през първите години от живота.
Има няколко причини, които могат да доведат до зъбна хипоплазия:
- Проблеми по време на бременност: Страдането от определени проблеми по време на бременност, когато се формират бъдещите зъби на бебето, може да промени тяхната минерализация и да причини хипоплазии. Висока температура, инфекции, заболявания на майката, хранителни дефицити или прием на определени лекарства по време на бременност водят до това състояние.
- Проблеми в ранна детска възраст: Страдането от определени състояния през първите години от живота, когато зъбите все още се формират, също причинява хипоплазии. Преждевременни раждания, ниско тегло при раждане, инфекции, висока температура, системни заболявания, недохранване и дефицит на витамини са някои примери, които могат да променят минерализацията на зъбите.
- Травма: Когато млечен зъб бъде ударен, това може да нарани зародиша на постоянния зъб, който се образува вътре в костта през корена му. Това причинява хипоплазия на постоянния зъб.
Прочетете и: Всичко, което трябва да знаете за кървящите венци
2. Белите петна по зъбите поради флуороза
Зъбната флуороза е патология, причинена от прекомерна консумация на флуор в периода на формиране на зъбите. Превишаването на препоръчителните дневни дози на този минерал, когато зъбите се развиват, е това, което причинява проблема.
В някои региони на света питейната вода съдържа голямо количество от този минерал и консумацията й по време на развитието на зъбите може да причини флуороза. Използването на флуорни добавки, когато не е необходимо, или приемът на флуор под формата на пасти за зъби с високи концентрации също може да бъде източник на проблема.
Флуорозата се проявява като бели петна по повърхността на зъбите. Тези бели петна обикновено засягат няколко зъба и са склонни да имат характерни ивици. При по-тежките случаи оцветяването е по-кафеникаво и несъвършенства като грапавост и трапчинки могат да се наблюдават и по короните на зъбите.
3. Зъбни кариеси
Една от най-честите причини за бели петна по зъбите са зъбните кухини. Началото на това заболяване се проявява с по-тъмен белезникав цвят.
Това състояние се причинява от загубата на минерали в емайла на зъбната корона. Това се случва поради действието на киселини, произведени от бактерии, разграждащи въглехидратите в храната.
Ето защо този вид бели петна се свързва с лоша хигиена на зъбите и диета, богата на въглехидрати, особено храни, богати на захари. Това благоприятства образуването и натрупването на бактериална плака, която води до кариеси.
Като цяло това състояние често остава незабелязано от пациентите, така че редовните стоматологични прегледи са от съществено значение. Този ранен стадий на заболяването е обратим и с използването на терапевтичен флуор зъбът може да възстанови здравето си.
4. Декалцификация на зъбите
Има локализирани области на загуба на калций и липса на калций, които се проявяват като бели петна по зъбите. Те могат да бъдат причинени от различни причини:
- Зъбна ерозия: Честото излагане на повърхността на зъбите на действието на киселини, газирани напитки, безалкохолни напитки, лимонов сок или други видове оцет засяга зъбния емайл. Страдането от киселинен рефлукс също може да промени повърхността на зъба.
- Много травматични практики за хигиена на зъбите: Твърде бързото миене на зъбите с прекалено голям натиск, използване на твърде много сила или често използване на четка с много твърд косъм може да износи зъбния емайл.
- Хранителни дефицити: Липсата на достатъчно хранителни вещества и продължителните периоди на киселинност в устната среда благоприятстват загубата на минерали от зъбите.
- Сухота в устата: Липсата на слюнка благоприятства загубата на минерали от зъбите.
5. Белите петна по зъбите, свързани с ортодонтското лечение
Има връзка между ортодонтското лечение с брекети и белите петна по зъбите. Въпреки това, не брекетите причиняват тези дефекти в зъбите, трудността при поддържане на правилна зъбна хигиена често води до проблема.
Неправилната хигиена на всички области на устата води до натрупване на плака около брекетите и под лентите. Това води до деминерализация на емайла, което се вижда като бели петна по зъбите. Като цяло, те стават очевидни, когато брекетите се свалят и трябва да бъдат лекувани по това време.
Не пропускайте и: Връзката между оралното здраве и възпалителните заболявания на червата
Как да премахнете белите петна по зъбите
Както вече споменахме, първо е необходимо да се определи причината за белите петна по зъбите, за да решите какво лечение да използвате, за да ги излекувате. Посещението при зъболекар ви позволява да получите точна диагноза и да планирате лечението, подходящо за всеки конкретен случай. Може да бъде препоръчано едно от следните лечения.
1. Терапевтичен флуорид
Флуорът се използва за лечение на бели петна, причинени от декалцификация и първите етапи на кариес. Прилагането на елемента локално върху зъбите им позволява да се реминерализират.
Лечението се извършва от зъболекаря в стоматологичния кабинет, като флуоридът се поставя върху повърхността на зъба, като се оставя да действа известно време. Предлага се под формата на гелове, лакове или пяни, съдържащи висока концентрация на минерала.
След нанасяне на продукта зъболекарят ще инструктира пациента да не яде, пие и да не изплаква устата си в продължение на няколко часа. Освен това зъболекарят ще посочи колко често да се повтарят процедурите, за да се реши проблема.
2. Микроабразия на зъбите за премахване на белите петна по зъбите
Това лечение е полезно за третиране на повърхностни бели петна. Процедурата се състои в полиране на засегнатата област на зъба с ротационни инструменти или специални киселини. След това интервенираната част от зъба се запълва с пломба със същия цвят като зъба.
3. Пълнежи
Друг начин за премахване на петна от зъбите е чрез поставяне на пломби. Те се използват за по-големи и дълбоки петна.
В този случай засегнатата тъкан трябва да се отстрани с ротационни инструменти. Получава се кухина. Кухината се запълва със смес в цвета на зъбите, които са свързани заедно със специални адхезивни системи.
Използваният материал има консистенция, подобна на шпакловка, което позволява на зъболекаря да го оформи и да му придаде желания вид. Когато приключи, се прилага специална лампа, която втвърдява материала и след това пълнежът се полира, за да му придаде окончателен завършек.
4. Зъбни фасети или корони за премахване на белите петна по зъбите
Тези опции се разглеждат при най-тежките случаи, когато има големи засегнати зони и петната са причинени от проблеми по време на развитието, като хипоплазии и флуороза. Фасетите или короните позволяват прикриване на несъвършенствата, придавайки естествен вид на зъбите.
Фасетите се характеризират с поставянето им върху предната част на зъба. Преди това трябва да се направи лека обработка на зъба, за да му се осигури опора. Изработени са от смес или порцелан и могат да постигнат оптимална естетика.
Короните, от друга страна, покриват целия зъб, като капачка. Също така е необходимо да изрежете зъба, за да ги поставите, което изисква повече обработка.
При проектирането им се вземат предвид формата, цвета и размера на зъба, който ще бъде възстановен, така че те са персонализирани и осигуряват адекватно решение за всеки конкретен случай.
5. Избелване на зъби
Избелването е един от най-ефективните начини за постигане на по-бяла и красива усмивка. Също така е добър начин да премахнете белите петна от зъбите, особено когато са в най-външния слой на зъба.
Тази дентална техника не само се стреми да постигне по-естетични резултати. Но и изравнява емайла, което улеснява почистването на зъбите и елиминирането на бактериите. В момента има различни видове избелване, така че най-добрият вариант е да се консултирате със зъболекар, за да изберете най-подходящия.

Предотвратяване на бели петна по зъбите
Някои бели петна по зъбите не могат да бъдат предотвратени, но повечето са предотвратими, като приложите някои от следните съвети на практика:
- Адекватна хигиена на зъбите: Предотвратяването на натрупването на бактериална плака предотвратява загубата на минерали от зъба. Миенето на зъбите три пъти на ден, използването на конци за зъби, паста за зъби с флуорид и допълването с вода за уста е от съществено значение. Пациентите с брекети трябва да обърнат специално внимание на щателната устна хигиена и винаги да се опитват да достигнат до всички области на устната кухина.
- Избягвайте прекомерната консумация на флуор: Информацията за нивата на флуора в питейната вода, избягването на употребата на добавки, съдържащи минерала без медицински показания, и използването на правилното количество паста за зъби за всяка възраст може да помогне за предотвратяване на флуороза при децата.
- Здравословно хранене: Балансираната и питателна диета предотвратява липсата на минерали, които могат да причинят декалцификация в зъбите. Също така, избягването на преработени, киселинни храни и храни с високо съдържание на захар ще помогне за намаляване на риска от развитие на бели петна по зъбите.
- Редовни посещения при зъболекар: И накрая, редовните посещения при зъболекар ви позволяват да откриете навреме всички проблеми, за да ги лекувате навреме. Професионалното почистване и съветите на зъболекаря помагат да се контролира бактериалната плака и да се поддържа здрава усмивката ви.
Погрижете се за усмивката си
Наличието на бели петна по зъбите не е само проблем със здравето на устната кухина. Влияе и на външния вид на човек, което може да причини проблеми със самочувствието и представата за себе си.
За щастие избягването на белите петна и красивите зъби е възможно с определени техники за грижа за зъбите. Със здравословни практики и редовни посещения при зъболекаря, усмивката никога няма да е проблем за вас!
Всички цитирани източници бяха добре прегледани от нашия екип, за да се гарантира тяхната качествена, надеждна, актуална и валидна информация. Библиографията на тази статия бе считана за надеждна и отговаряща на академичните или научни изисквания.
- Quiñones Ybarría, María Elena, et al. “Estado de salud bucal: su relación con el estado nutricional en niños de 2 a 5 años.” Revista Cubana de Estomatología 45.2 (2008): 0-0.
- Giraldo Giraldo, Nubia Amparo, Alejandro Estrada Restrepo, and Andrés Alonso Agudelo Suárez. “Malnutrición y su relación con aspectos de salud en adultos mayores.” (2019).
- Loyola-Rodríguez, J. P., et al. “Incidencia de lesión de mancha blanca en las clínicas de ortodoncia de la Universidad Michoacana en Morelia, Michoacán, México.” Actualidad Médica 803 (2018).
- Da Silva, Claudia Ester, Julieta Galán, and Stella Maris González. “Etiología y diagnóstico diferencial de las lesiones de mancha blanca sobre la superficie adamantina.” III Jornadas de Actualización en Prácticas Odontológicas Integradas SEPOI-PPS (La Plata, 2018). 2018.
- Narváez Santos, María José. Tratamiento de la mancha blanca del esmalte post tratamiento ortodóncico. BS thesis. Universidad de Guayaquil. Facultad Piloto de Odontología, 2021.
- Garófalo León, Mirian Adela. “Prevalencia de mancha blanca en pacientes de 3 a 6 años Clínica Odontológica UCSG B 2017.” (2018).
- Maldonado-Ramírez, M. A., et al. “Remineralización de caries de mancha blanca no cavitada: estudio in vitro.” Oral 20.64 (2019): 1766-1770.
- Carrasco Morales, Maria Belén. Fluorosis dental infantil. BS thesis. Universidad de Guayaquil. Facultad Piloto de Odontología, 2021.
- Lalama Pincay, Martha Elizabeth. Microabrasión adamantina con ácido clorhídrico y ácido fosfórico en tratamiento de fluorosis dental leve. BS thesis. Universidad de Guayaquil. Facultad Piloto de Odontología, 2018.
- Poma Torres, Esthefania Mirella. Manejo y protocolo de atención de la hipoplasia en niños. BS thesis. Universidad de Guayaquil. Facultad Piloto de Odontología, 2021.
- Montero Ronquillo, Mercedes María. Manchas blancas como primera manifestación en la Estructura dental en dentición temporaria. BS thesis. Universidad de Guayaquil. Facultad Piloto de Odontología, 2021.
- Uzuriaga Bonifacio, Jossibel Dunea. “EFECTIVIDAD DEL FLUOR BARNIZ FRENTE AL FLUOR GEL NEUTRO PARA EL TRATAMIENTO DE MANCHAS BLANCAS DENTARIAS EN NIÑOS DE 5 A 6 AÑOS EN EL HOSPITAL II ESSALUD HUÀNUCO 2019.” (2021).
- González, María Alejandra Romero, and Denisse Pilar Carmen Aguilar Gálvez. “Comparación de tres agentes remineralizantes utilizados en lesiones de manchas blancas en premolares medidos con fluorescencia láser: un estudio in vitro.” Revista Científica Odontológica 7.1 (2019): 66-77.
Този текст се предоставя само с информационна цел и не замества консултация с професионалист. При съмнения, консултирайте се със своя специалист.







